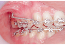
Mikroimplanty ortodontyczne – małe, biokompatybilne śruby, które stają się Twoimi niewidocznymi sprzymierzeńcami w dążeniu do perfekcyjnego uśmiechu!
Dlaczego warto zaufać mikroimplantom?
Mikroimplanty zapewniają stabilne punkty zaczepienia dla sił ortodontycznych, umożliwiając precyzyjne i kontrolowane przesuwanie nawet najbardziej opornych zębów.
Dzięki dodatkowemu wsparciu, leczenie może przebiegać sprawniej i szybciej, skracając czas oczekiwania na olśniewający uśmiech.
Wprowadzenie mikroimplantu jest prostym i bezbolesnym zabiegiem, wykonywanym w znieczuleniu miejscowym. Po zabiegu możesz wrócić do codziennych aktywności.
Mikroimplanty otwierają nowe możliwości leczenia nawet skomplikowanych wad zgryzu, które wcześniej mogły wydawać się trudne do skorygowania.
Mikroimplanty są niewielkie i zazwyczaj niewidoczne podczas uśmiechu, co zapewnia komfort psychiczny w trakcie leczenia.


Mikroimplanty ortodontyczne


Kontakt
Indywidualna praktyka stomatologiczna
ul. Topolowa Złochowice
42-152 Opatów
+48 691 732 005


